
Лечится ли пародонтоз — Зубы
Заболевание пародонтаПародонтоз — весьма неприятный и коварный недуг. Коварство этой болезни заключается в том, что при отсутствии правильного и своевременного лечения, появление непоправимых...
Портал про зубы 
Заболевание пародонтаПародонтоз — весьма неприятный и коварный недуг. Коварство этой болезни заключается в том, что при отсутствии правильного и своевременного лечения, появление непоправимых...
Портал про зубы 
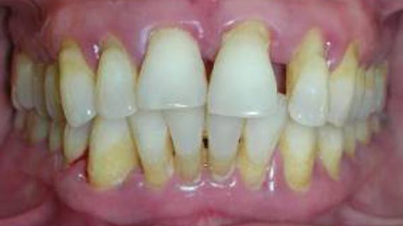
Пародонтоз — заболевание ротовой полости, при котором разрушается пародонт (околозубная ткань, отвечающая за фиксацию зубов). Народный препарат, который нейтрализует воспаление дёсен и...
6gva 
Опубликовано: 20.05. 2022 CC BY В последние годы участились заболевания пародонта, имеющие...
6kza 
Здравствуйте, дорогие читатели. Является ли проблемой кровоточивость десен? Многих людей длительное время волнует данный вопрос. Десны могут кровоточить как в результате заболевания, так и в результате механического воздействия на них, например...
Портал про зубы 
Белые пятна и точки на деснах у взрослых и детей. Регулярная гигиена полости рта не может на 100% застраховать от...
6gvl 
В этой статье мы попробуем разобраться, от чего может появиться отек на десне, какие симптомы помимо отека могут помочь определиться с причиной этого отека и что...
6iqi 
Как вылечивать свищ на десне исцеление в домашних условиях. По воззрению дантистов, свищ, возникающий на десне, – это очень страшная аномалия. Ведь в случае отсутствия своевременного...
6gtf 
Гнойники на деснах у ребенка: причины и лечение. При появлении гнойника на десне у малыша родители начинают нервничать и переживать, не...
6gvl 
6kza 


Портал про зубы 
Портал про зубы 
Детская поликлиника № 1 
Портал про зубы 
Аппликатор Кузнецова 

Портал «Фловит» 
Всё о печени 
Все о пневмонии 
Ортопед.ру 
Лечение заболеваний 


Про почки 
Мед. портал ОДС 
Портал «О болезнях дых.путей»