
Стенозирующий атеросклероз брахиоцефальных артерий — Сердце
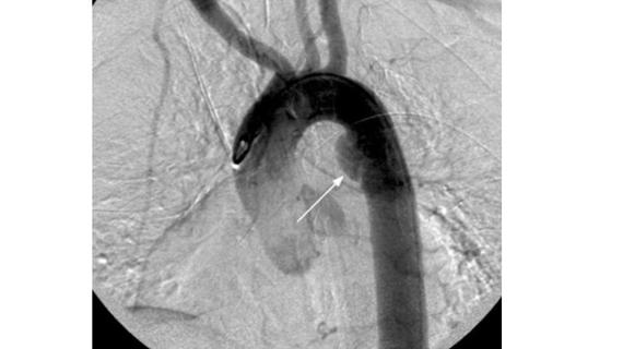
Стеноз сонной артерии при атеросклерозе возникает вследствие нарушения микроциркуляции по причине отложения жировых скоплений в артериальной стенке. Сонная артерия обеспечивает кровоснабжение значительной части...
Здоровое сердце 
Портал «Кардиограф» 

6hcm 

6hjq 





6iqi 





Простуда и грипп
Коронавирус
Гастроэнтерология
Заболевания легких и дыхательных путей
Заболевания печени
Заболевания горла
Заболевания вен и сосудов
Аллергология
Грибковые заболевания
Женские заболевания
Проктология
Кожные заболевания
Педиатрия
Заболевания суставов и костей
Заболевания спины и позвоночника
Беременность и роды
Заболевания сердца
Маммология
Онкология
Заболевания крови
Заболевания глаз
Красота
Диеты и здоровое питание
Заболевания ушей
Стоматология
Наркология
Косметология
Психиатрия
Сексология
Анализы и диагностика
Хирургия
Заболевания щитовидной железы 







6hjq 
Портал «Заболевания Нет»