
Подростковые прыщи: лечение, средства от прыщей для подростков
Практически всем приходилось сталкиваться с прыщами в подростковом возрасте. Некрасивые красные пятна, белые гнойники, мелкая сыпь – все это...
Портал «Идеальная кожа» 
Практически всем приходилось сталкиваться с прыщами в подростковом возрасте. Некрасивые красные пятна, белые гнойники, мелкая сыпь – все это...
Портал «Идеальная кожа» 
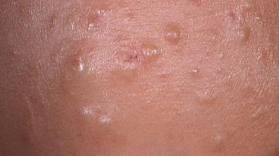
Аллергия – бич современности. У нее много разновидностей: в виде прыщей, высыпаний, отеков, воспалений слизистой. Если на теле появились аллергические прыщи – организм дает сигнал о сбое в системах и необходимо обратить...
Кожные высыпания 
Вульгарные угри на лице всегда доставляют эстетический дискомфорт. Раньше считалось, что они появляются только у подростков. Однако в настоящее время такая сыпь может беспокоить и...
6i8h 
Мильгама – популярный витаминный препарат для лечения неврологических заболеваний. Лекарство считается одним из лучших в терапии...
Кожные заболевания 
Мелкие прыщи на лице, основные причины по которым они появляются. Что делать при образовании прыщиков. Как лечить высыпания. Правила профилактики мелких прыщей на...
Портал «Идеальная кожа» 
Как избавиться от прыщей в домашних условиях быстро и эффективно подростку, на лбу, на носу, на глазах, на губах, на щеках, на подбородке, на ушах, на...
Аппликатор Кузнецова 
На месте выдавленного прыща нередко возникают различные осложнения: опухоль, уплотнение, покраснение. Как можно избавиться от них в...
Моя Кожа 
Причины появления прыщей на руках при алергиях, инфекционных заболеваниях, гормональных нарушениях, повышенной потливости и по другим причинам. Правила лечения высыпаний на пальцах...
Портал «Идеальная кожа» 
Портал «Идеальная кожа» 
Портал «Идеальная кожа» 
Портал «Идеальная кожа» 
Портал «Идеальная кожа» 
Портал «Идеальная кожа» 

Портал «Идеальная кожа» 
Портал «Идеальная кожа» 
Портал «Идеальная кожа» 


Кожные заболевания 
Кожные заболевания 
Портал «Идеальная кожа» 
Женский журнал «jlady» 

Кожные заболевания 
Портал «Идеальная кожа» 