
Можно ли и нужно ли мазать горло зеленкой при ангине взрослому и ребёнку? – Медицинский портал
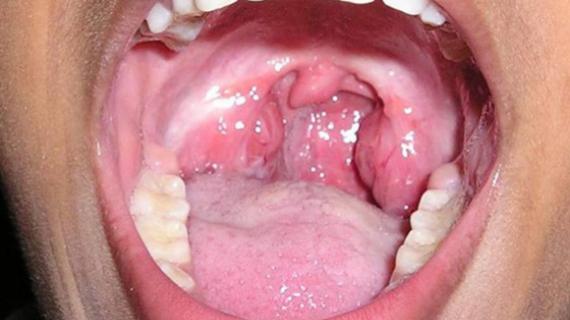
Прежде чем решить, можно ли мазать горло зеленкой при ангине, стоит подумать: а зачем? Сегодня без рецептов продается огромное количество самых разных препаратов, помогающих...
golitsyno-city.ru 
Детская поликлиника № 1 
Мед. центр «ГлобалМед» 



Ухо, Горло, Нос 




6flx 





Простуда и грипп
Коронавирус
Гастроэнтерология
Заболевания легких и дыхательных путей
Заболевания печени
Заболевания горла
Заболевания вен и сосудов
Аллергология
Грибковые заболевания
Женские заболевания
Проктология
Кожные заболевания
Педиатрия
Заболевания суставов и костей
Заболевания спины и позвоночника
Беременность и роды
Заболевания сердца
Маммология
Онкология
Заболевания крови
Заболевания глаз
Красота
Диеты и здоровое питание
Заболевания ушей
Стоматология
Наркология
Косметология
Психиатрия
Сексология
Анализы и диагностика
Хирургия
Заболевания щитовидной железы 







