
Что такое гонорея и трихомониаз - чем отличается
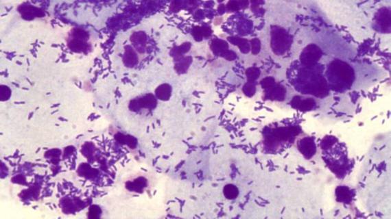
Что такое гонорея и трихомониаз, пациентом порой приходится узнать, только после заражения. Иногда человек может на протяжении долгого времени чувствовать боль, жжение, зуд в области мочеполовых органов...
Сайт о паразитах 
6i8h 
6i5z 
6i5z 
6i5z 







Мед. центр «ГлобалМед» 
6i5z 



Простуда и грипп
Коронавирус
Гастроэнтерология
Заболевания легких и дыхательных путей
Заболевания печени
Заболевания горла
Заболевания вен и сосудов
Аллергология
Грибковые заболевания
Женские заболевания
Проктология
Кожные заболевания
Педиатрия
Заболевания суставов и костей
Заболевания спины и позвоночника
Беременность и роды
Заболевания сердца
Маммология
Онкология
Заболевания крови
Заболевания глаз
Красота
Диеты и здоровое питание
Заболевания ушей
Стоматология
Наркология
Косметология
Психиатрия
Сексология
Анализы и диагностика
Хирургия
Заболевания щитовидной железы 

